Services

Stroke Evaluation and Treatment

Understanding Stroke - Your Guide to Treatment and Recovery

Why Stroke Matters?

Every stroke is different and recovery is unique for each stroke survivor. Stroke can occur at any age, but stroke risk increases as you get older.

Stroke is a global health problem and it is the fourth cause of disability worldwide so it is important to know the warning signs and act quickly. Up to 80% of all strokes and recurrent strokes are preventable through risk management and follow up.

content-image
WHAT IS A STROKE?

Stroke is a disease which causes damage to the brain. It affects the blood vessels called arteries which carry blood to the brain. A stroke occurs when one of these arteries is either blocked or bursts. Thus part of the brain does not get the blood it needs, so it starts to die.

Mainly there are two types of stroke - ischemic (85%) and hemorrhagic (15%) stroke.

content-image

When the artery is blocked causing reduced or no supply to brain, it suffers an ischemic stroke (ischemia means lack of oxygen).

content-image

Sometimes, a blood clot that is formed at another location in the blood stream (eg. Heart) breaks loose, enter the bloodstream and travel through the brain's blood vessels and reaches vessels causing a block. This is called as cardioembolic stroke and these make up 20% of the ischemic strokes.

content-image

When an artery ruptures resulting in leaking of blood over the brain it is called a hemorrhagic stroke. The proper function of the brain is disturbed during a stroke, due to the lack of oxygen and nutrients to the brain cells.

A transient ischemic attack (TIA) is caused by a small clot that blocks an artery for a short period of time. It is sometimes called a mini-stroke or warning stroke.

TIA symptoms might last only a few minutes or hours. No lasting damage occurs, but TIAs are an important warning that a more serious stroke may occur soon.

The symptoms of stroke is based on the area of brain affected (type of function performed by the particular area) and the extent of damage.

Early identification and management is essential to prevent the extent of neurological damage.

WHAT CAUSES STROKE?

The major risk factors for stroke include diabetes (increased blood sugars), hypertension (high blood pressure), high cholesterol, obesity, alcohol, smoking, tobacco usage and sedentary lifestyle which can be modified.

content-image

Age and male sex are non-modifiable risk factors. For women, stroke can happen for those who have high blood pressure during pregnancy, who take birth control medications as well as those having depression and anxiety.

content-image
HOW TO IDENTIFY A STROKE?

BE FAST - The major symptoms of stroke can be memorized using the pneumonic BE FAST.

F—Face: Ask the person to smile. Does one side of the face droop?
A—Arms: Ask the person to raise both arms. Does one arm drift downward?
S—Speech: Ask the person to repeat a simple word/sentence. Is the speech slurred or strange?
T—Time: If you see any of these signs, immediately take the person to a hospital.
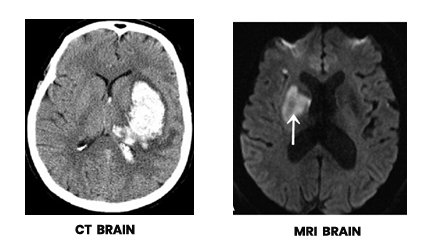
HOW DOES THE DOCTOR DIAGNOSE A STROKE?

The doctor confirms that a person has stroke by taking a detailed medical history of the person, a physical examination, blood tests, and x-ray studies including Computed Tomography (CT), Magnetic Resonance Imaging (MRI), CV Doppler studies and angiography. This will help to determine the type and location of the stroke and why the stroke happened.

content-image
CAN STROKE BE TREATED?

YES. Stroke can be treated and TIME IS CRUCIAL with each second delay causing millions of brain cell death.

content-image
ISCHEMIC STROKE TREATMENT

The main aim of treatment is to reduce the damage to brain due to poor oxygen supply as early as possible.

During the initial hours, an injection can be given for dissolving the clot and opening the vessel to maintain proper blood supply to brain. It is called thrombolysis and can be done upto 4.5 hours from the time the symptoms.

Another option is to remove the clot by a procedure called mechanical thrombectomy. It is done using an equipment to trap and suck the clot out. This is effective if done within 6 to 24 hours, after thrombolysis.

content-image
ISCHEMIC STROKE TREATMENT

The main aim of treatment is to reduce the damage to brain due to poor oxygen supply as early as possible.

During the initial hours, an injection can be given for dissolving the clot and opening the vessel to maintain proper blood supply to brain. It is called thrombolysis and can be done upto 4.5 hours from the time the symptoms.

Another option is to remove the clot by a procedure called mechanical thrombectomy. It is done using an equipment to trap and suck the clot out. This is effective if done within 6 to 24 hours, after thrombolysis.

content-image
HEMORRHAGIC STROKE

The main treatment is to control bleeding and resulting swelling. Generally, strict blood pressure control is required. In case of ballooning of arteries which ruptures and cause the bleed, surgical treatment may be required.

content-image
MEDICATIONS FOR STROKE

The most common type of stroke is ischemic stroke. Drug therapy is given to patients with ischemic stroke or those who are at risk of having ischemic stroke.

  1. ANTIPLATELETS - helps to prevent blood clots that could cause a stroke.
  2. ANTICOAGULANTS - help keep blood clots from forming.
  3. HIGH BLOOD PRESSURE MEDICATION - helps to control the blood pressure.
  4. CHOLESTEROL LOWERING MEDICATION - helps to reduce the buildup of fatty deposits.
content-image
WHAT HAPPENS AFTER A STROKE?

Stroke changes life in different aspects - physically and mentally.

content-image

Each area of the brain take care of specific action and the damage to those areas wil affect the normal function of brain.

After a stroke, the time for recovery varies between individuals. It depends on the area of brain, the size of area affected, other disease conditions as well as the complications during stroke. Patients usually experience difficulty speaking, swallowing, walking, etc.

They may have chances of developing bed sores, hence their position should be changed every 2 or 3 hours. They might also require to be on Ryles tube feeds until they have the ability to swallow food on their own.

Some may have full recovery within few weeks or few months (usually 3 months, but it's not surprising to see improvements over a year also).

If the impact is large, some may not have a complete recovery. In few cases, death can happen due to severe complications associated with stroke.

Example: swallowing difficulty leading to aspiration, increasing pressure inside brain, infections due to tubes (food, urine) and injection lines.

IMPORTANCE OF REHABILITATION

Physical rehabilitation or physiotherapy plays an important role in the recovery of stroke.

The goal of therapy differs with each individual based on the severity and functional difficulties for each one of them.

Immobility of hands and limbs for longer period will result in pain even with mild movements which will eventually cause stiffness or rigidity.

content-image
WHAT ARE THE REASONS FOR STROKE RECURRENCE?

Recurrence of stroke happens when there is risk factors exist and poor compliance to medication.

If you have had a stroke, you are at high risk for another stroke - 1 of 4 stroke survivors has another stroke within 5 years.

The risk of stroke within 90 days of a minor stroke (TIA or transient ischemic attack) may be as high as 17%, with the greatest risk during the first week.

CAN I PREVENT A RECCURENT STROKE?

Yes. 4 in 5 strokes are preventable.

  1. Medication compliance: DO NOT stop taking your medication once you feel better or when you recover completely. Medications like aspirin (antiplatelet) or an anticoagulant should be continued lifelong for preventing further stroke. Stopping medication will result in another clot formation causing stroke.
  2. Risk factor control: The disease conditions which lead to stroke (for example diabetes, hypertension) should be monitored strictly. Medications, diet as well as lifestyle modifications including quitting alcohol and smoking are essential part of prevention of stroke.
  3. Regular follow-up: Consulting the physician at least once in 3-6 months is required to know whether your medications are working as per the expectation.
  4. Healthy lifestyle: Consuming healthy food and maintaining a physical and mental health is essential. You need to be active throughout the day with minimum 30 minutes of exercise per day which can be attained by walking or yoga or alternate workup.
QR Code
SCAN
X

Scan QR Code

QR Code